See the life-changing transformations our customers have experienced with Smile Provide's clear aligner treatments.
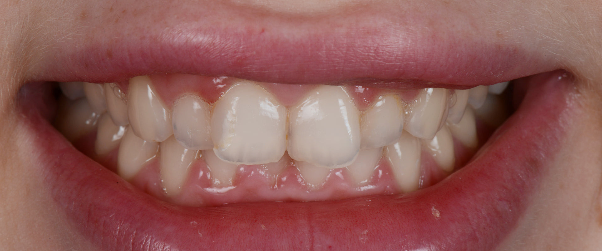
Ellis's Journey
Before
After
"I was amazed at how quickly I saw results with my Smile Provide aligners. The entire experience was seamless, from the initial impressions to the final reveal. I would highly recommend Smile Provide to anyone considering clear aligners."
- Ellis L
Paige's Journey
Before
After
"As someone who has always been self-conscious about my smile, I can honestly say that choosing Smile Provide was one of the best decisions I've ever made. From the moment I started the process with the online consultation, I felt reassured and informed. The staff was incredibly supportive, answering all my questions and laying out everything I could expect.
What truly amazed me was seeing the 3D visualisation of my future smile—it made the whole process feel real and achievable.
Thank you, Smile Provide, for making what seemed like a daunting process smooth and exciting"
- Paige L
Claire's Journey
Before
After
"I was really on the fence before choosing Smile Provide. The price difference between them and Invisalign seemed too good to be true, and honestly, it made me pretty skeptical, like how can it be that much cheaper and still be any good? I thought maybe there had to be a catch. I started with their online consultation, which was surprisingly thorough. Gary was really patient and explained that they could keep costs low because they didn’t spend as much on advertising and because they sell directly to customers like me, cutting out middlemen.
I was so worried that I’d regret not going with Invisalign, but seeing the changes in my smile, I know I made the right choice"
- Claire W
Your Dream Smile Starts with a Free Online Consultation
Join our community of happy, confident smilers and discover how affordable and convenient achieving your dream smile can be.
Book your free, no-obligation online consultation today and discover a more affordable, convenient, and personalised approach to orthodontic treatment.







